Multi-Tasking, a word unheard of back in the day, is one that seems to be a commonplace definitive statement about how we live our lives in the 21st century. On any given day, we are doing a wide variety of tasks, mainly technology related, that can include social media, work, internet searches, blog posting, checking emails, paying bills online and shopping.
We have landed ourselves in a world where technology makes all these options available for us; instant communication and feedback – it’s all part of life these days. We answer e-mails while talking on the phone. We work on our schedules and calendars while driving and listening to the radio. We listen to podcasts while exercising. This hub of activity is the driving force behind the word “multitasking”, the art of focusing on everything at the same time.
Those of us at a certain age find multitasking can be done capably though not comfortably. I juggle multiple screens, simultaneous text messages and emails but yet it never quite feels right. I am a bit tired, like I’m not operating with full steam ahead. Focus no longer produces clarity. At day’s end when I have the opportunity to completely tune out, it is not a luxury I enjoy because it is such an effort to get there. Why is multitasking so overwhelming? It is overwhelming because it’s not possible!
Brain researchers say we cannot multitask? I first heard this theory on NPR, and followed up with this radical proposal by an article written by Jon Hamilton “Think You’re Multitasking”? Think Again
“People can’t multitask very well, and when people say they can, they’re deluding themselves,” said neuroscientist Earl Miller. And, he said, “The brain is very good at deluding itself.”
That’s all of us in society today – delusionists. We think we are focusing on everything at once, when our brains do not have that capability. What actually occurs is the human brain is engineered to shift our focus from one thing to the next, not simultaneously, but with such astonishing quickness that we delude ourselves into thinking its happening all at once. This capability to shift from task to task is what makes the human brain so exemplary, but it is a process that we are taking to the limit as our frontal lobes are literally bouncing tasks like ping pong balls from one thing to the next in milliseconds. This is a very stressful place to put our delicate processing center in and not mentally healthy for us. We are not engineered to process in this way and that is why it is so tiring. Do two or more things simultaneously, and you’ll do none at full capacity and wear yourself out in the meantime.

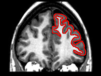
Shown in red, the frontal lobe is the home of the central processing unit in the brain. This red highlighted area decreases in volume as we age. This region helps the brain decide which tasks to focus on and when to disregard those that don’t matter.
Researchers can actually see the brain struggle when people attempt to multitask. It becomes an over-stimulating process for us mentally, and our frontal lobe simply gets worn out.
What to do? This is a tough one but do a google search and the options are many. I am proudly working on disengaging myself from multitasking and I am finding myself more centered and feeling more accomplished with the tasks I am working on. Here is what is working for me:
- Give up on multitasking
- Be alone on occasion without any distruptions
- Focus on one thing at a time
- Set mobile devices aside
- Schedule time for work and time for you – your professional life should not be conducted simultaneously with your private life – keep them separate.
- Complete one task before taking on another
- Take a pause – it’s okay!
Trust me, the results are beneficial – a new release of energy in your life will emerge and a better sense of accomplishment – a job well done in its entirety – done, accomplished and put away completely as the next task awaits.